Altershaut
Alterswarzen sind gelbe, hellbraune bis braun-schwarze Neubildungen auf der Haut von unregelmäßiger, rauer, fettig wirkender Oberfläche. Meist findet man sie bei Menschen mit heller Hautfarbe ab dem 40. bis 50 Lebensjahr. Obwohl diese Veränderungen oft wie Hautkrebs aussehen, sind sie immer gutartig. Führt das Reiben der Kleidung zu Entzündungen oder Blutungen, oder sind sie kosmetisch störend, sollten sie entfernt werden. Man kann sie entweder oberflächlich abtragen, mit elektrischem Strom ausbrennen oder mittels Laser behandeln.

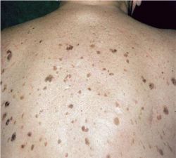
Altersflecken sind den Sommersprossen im Prinzip sehr ähnlich, entstehen aber vorwiegend jenseits des 35. Lebensjahres. Im Gegensatz zu den Sommersprossen, die am gesamten Körper vorkommen können, sieht man Altersflecken vorwiegend an den belichteten Teilen der Haut, also im Gesicht, auf den Handrücken, an den Armen und am Décolleté. Über 50 Prozent aller Menschen über 50 Jahre sind davon mehr oder weniger betroffen. Um sie zu entfernen, können Sie entweder alte Hausmittel wie Zitronensaft, anwenden, oder moderne Bleichmittel mit Fruchtsäuren vom Facharzt verschreiben lassen. Als effektiver erweist sich ein vom Arzt durchgeführtes hochprozentigen Fruchtsäurepeeling oder eine Lasertherapie. In jedem Fall entwickeln sich nach kurzer Zeit wieder neue Altersflecken.
Im Bereich der Augenlider treten im Alter gehäuft hellgelbe, leicht erhabene, plattenförmige Ablagerung von Cholesterin auf. Diese im Fachjargon Xanthelasmen genannte Flecken sind weich und leicht verschieblich und kommen meistens an beiden Augen symmetrisch vor. Xanthelasmen entstehen aufgrund von lokalen Fettstoffwechselstörungen. Besonders häufig sind Frauen nach den Wechseljahren betroffen. Auch Diabetes und erhöhte Blutfette steigern das Risiko, Xanthelasmen zu entwickeln. Die Xanthelasmen selbst sind nicht gefährlich. Sie können aber wegen ihres Aussehens, psychisch belastend sein. Behandelt werden sollte eine eventuell vorliegende Fettstoffwechselstörung. Dadurch bilden sich die Ablagerungen aber nicht zurück. Diese müssen chirurgisch entfernt werden.